(原标题:“唐僧”来了——麦芽口腔推出深圳首档明星种牙直播)
种牙过程疼吗?创口大吗?年龄大口腔状况不佳可以种牙吗?为了让缺牙市民朋友更全面了解种牙手术,麦芽口腔种牙直播活动迎来了第四期。本期种牙人物邀请到著名粤剧表演艺术家、经典电影《大话西游》唐僧扮演者、香港喜剧大师罗家英,他将在麦芽口腔南山机构接受种牙手术。届时,麦芽口腔将四院联播罗家英种牙全过程,这是深圳乃至整个首档明星种牙直播活动,因此备受瞩目。
首档明星种牙直播火热开启
“唐僧”罗家英来麦芽种牙
提起唐僧,国人并不陌生,但提起罗家英,知道他的大陆居民可能不太多。他是周星驰版经典电影《大话西游》唐僧的扮演者,他在香港可以说得上是家喻户晓;他出身粤剧世家,8岁时跟随父亲罗家权、伯父罗家树学习粤剧基本功架,师随粉菊花、吕国铨、刘洵、李万春等京剧大师,21岁担当演出文武生;刘德华曾拜他为师学习粤剧。今年,罗家英更是因对粤剧发展的卓越贡献,获颁铜紫荆星章,此外,他与“阿姐”汪明荃30年坚贞爱情,感动了无数影迷,是圈内外公认的“德艺双馨好演员”。
“上了年纪后我牙齿上面两边的第七颗牙齿都掉了,导致下面的牙齿出现牙根尖周炎,所以中老年朋友缺了牙齿一定要及时补,以前因为拍戏忙没档期,等闲下来发现年纪又大了,对种牙也是有各种顾虑,导致牙齿问题越来越多!”已经年过七旬的罗家英谈起自己的牙齿缺失问题,也跟大多数中老年朋友一样,充满了无奈。作为公众人物,罗家英坦言一口好牙是晚年品质生活的保障,除了能够帮助自己更自信地面对镜头展现笑容外,还让他吃得好睡得香,免受牙病困扰。

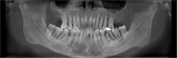
罗家英口内牙齿情况
“麦芽‘专注齿间艺术’的理念很得我心,他们有非常专业的种牙团队,听说很多都是国内的种牙博士,在这里种牙我很放心!”为了本次种牙直播更加顺利,罗家英提前考察了麦芽口腔,对麦芽优雅舒适的就诊环境、热情专业的服务及权威的种牙团队十分认可,对于即将到来的种牙手术,罗家英在接受采访时充满了期待。

种牙直播活动屡创新
麦芽口腔竭力为市民送口福
针对市民关心的种牙手术,麦芽口腔集团连锁总院长郑苍尚教授表示:“麦芽口腔一直希望通过多种举措,来帮助市民更加了解种植牙及各种口腔保健知识,比如:今年4月份,麦芽首次开展了”三院联播“的方式来进行种牙手术直播,这种几个机构同时观看种牙手术直播的形式,在整个深圳,乃至全国的口腔机构里面都是独一无二的,彰显着麦芽口腔的行业实力。”对此,麦芽口腔南山机构业务院长、第四军医大学口腔种植博士邢晓建院长也深有同感,他表示:“在4月份的直播过程中,我们不但对‘种牙直播’的形式进行了创新,更值得一提的是,对直播技术也进行了升级,我们摈弃了简单病例的手术直播,采用的是:即拔即种即刻修复的技术,这也是我们麦芽口腔的大胆创新之一,而本次采用‘明星种牙直播’也是深圳首档,更是体现了我们对技术的信心和麦芽口腔敢于挑战的精神。”

4月麦芽手术直播案例
自成立以来,麦芽口腔在深圳市首批名医、国际口腔种植医师学会(ICOI)院士、深圳市第二人民医院原口腔科主任郑苍尚教授带领下,组建了一支代表国内至高水平、以硕博专家为核心的博士专家团,他们拥有国际前沿的口腔理论和丰富的临床经验,致力于为广大消费者提供专业、权威、高品质的口腔诊疗服务,守卫市民口腔健康。

据了解,参与“明星种牙直播”活动,不仅能够现场见证“唐僧”扮演者、香港喜剧大师罗家英种牙全过程,还可获得与种植权威专家一对一沟通咨询的机会,如果,你有牙齿松动、牙齿缺失的烦恼,那就更不能错过这次明星种牙直播活动啦,现场设有丰厚大奖及种牙多重优惠:
美齿全线 8.8折
*种植项目
进口种植体 特价4600元
欧美种植体 立减2800元
半口/全口种牙直降5万元
*正畸项目
隐形矫正最高减1万元
青少年矫正特价6980元
智慧美学正畸立减3000元
*美学修复
烤瓷牙特价780元
全瓷牙特价1980元
瓷贴面专享3999元
在线预约:
点这里
活动地址:
罗湖机构:罗湖区深南东路2102号振华大厦顺电左侧(地铁2号线湖贝站C出口)
南山机构:南山区南山大道1153号天源大厦南山派出所旁(地铁11号线南山站D出口)
宝安机构:宝安区前进一路90号万悦格兰云天酒店二楼 (地铁5号线灵芝站B2出口)
惠州麦芽口腔医院:惠州市惠城区南岸路121号麦芽口腔医院(河南岸邮政分局公交站)
上一篇:麦芽口腔助力雅加达亚运会
數位化口腔種植學科專家組
由深圳二院原口腔科主任、國際種植醫師學會院士鄭蒼尚教授領銜的數位化精確種植學科專家組,在種植領域有豐富的臨床經驗,獲業內人士的廣泛好評!
數位化口腔正畸學科專家組
由白明海、吳伯海等畢業於名校的正畸專才領銜,凝聚一批國際資質認證的矯正醫師,運用數位化科技將醫學與美學完滿融合,在矯牙為您重塑美麗笑線和臉型!
數位化美學修復學科專家組
該學科組擅長運用系列數位化軟硬體設備,為您精細比色、類比牙體形態、塑造微笑曲線,將紅白美學、咬合關係與缺損修復融為一體。
數位化牙周病學科專家組
由香港大學牙周病學博士李京平領銜的牙周病學科專家組,致力根據個體實際牙周情况設計治療方案,運用數位化設備帶來更為舒適精細的體驗。
數位化兒牙治療學科專家組
依託嚴格醫生注入制度,麥芽打造一批深諳兒童心理與口腔狀況的醫生團隊,致力帶來更舒適的看牙體驗,讓未成年人告別看牙恐懼症,輕鬆擁有健康好牙。
麥芽牙科連鎖·品牌實力陞級