(原标题:吃都吃不了 哪有心情去旅行——78岁退休老人种牙记)
人到晚年,生活品质尤为重要,去旅行、享口福都是提升生活品质的方式。可如果只能选其中一样,那该怎么办?今年78岁,没剩几颗好牙的肖钻茵阿姨心中已经有了答案。“牙齿都没了,吃都吃不了,花那么多钱出去玩哪有什么心情。”当她的朋友邀她去夏威夷旅游时,肖阿姨提不起半点兴趣。

历过荒年下过乡
更懂得口福重要
长久以来,缺牙给肖阿姨的生活带来了很大的困扰,吃东西囫囵吞枣,吸收不好,身体日渐消瘦。谈起自己为什么缺牙,肖阿姨打开了她回忆的大门。读大学时,肖阿姨恰逢60年代大饥荒,平常的一份饭要分成好几份,吃不饱,也就无暇顾及牙齿。大学毕业后又遇到知青下乡,条件更加艰苦,饮水还成问题,洗脸的水都没有,刷牙自然是不可能,所以50多岁就开始缺牙了。为了修复缺牙问题,她做过烤瓷牙,也戴过假牙,都不舒服。由于当年的口腔医疗技术不发达,固定修复要磨邻牙,没过几年邻牙也坏了,最终导致好牙所剩无几。
退休后,儿女和朋友邀请她去夏威夷、北京、杭州各地旅行,让她到处看看走走,好好享受老年生活,每次肖阿姨都摇头拒绝。“吃都吃不了,出去玩哪有心情。”肖阿姨说出了她的心结。经历过荒年也下过乡,肖阿姨懂得口福的重要,更想找一种一劳永逸的办法重拾口福。

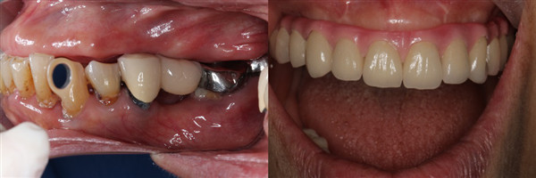
种植前VS种植后
两个小时种好牙
一劳永逸享口福
经过多番打听,肖阿姨了解到种植牙可以恢复咀嚼功能,又听说种牙效果跟真牙一样,遂下定了决心种牙。她四处查看口腔医院,曾是一名医生的她,深知医生技术在治疗过程中的重要性,最终选择了拥有博士种植专家团队的麦芽口腔。第一次来到麦芽口腔,肖阿姨就被麦芽口腔的真挚打动:“工作人员太热情了,像在自己家一样!”
麦芽口腔宝安机构赵旭峰院长为肖阿姨做了全面检查,考虑到肖阿姨年龄大,又缺牙久,牙槽骨萎缩已经很严重。如果采用传统的种牙方法,不仅需要大量植骨,植骨后还需等待牙槽骨恢复,这将大大增加种植的时间。再三思索后,赵院长决定采用麦芽MAC数字化精确种植技术,这样仅需个别牙齿先植骨,再通过数字化导航技术精确植入植体就可恢复上半口牙齿。“来麦芽口腔果然没有错,年龄这么大,本来还担心能不能种,赵院长给我吃了一颗定心丸。”听完赵院长对方案的讲解后,肖阿姨心头的一块巨石终于落了下来。

种牙当天,肖阿姨满心欢喜地来到麦芽口腔,赵院长仅花了不到两个小时就为她种好了牙齿,种完牙后,肖阿姨竖起了大拇指:“种牙一点都不痛,打麻醉也很到位,用的针很小,我这么瘦都没什么感觉,胖一点更不会有。”如今,肖阿姨看上去仿佛年轻了10岁,有了牙齿能够享口福了,生活也更加滋润。“现在有口福了,出去旅行才有意义。”说起种牙的愿望,肖阿姨说道。
麦芽种牙百叟宴第六期
邀百名缺牙人共品蟹宴
麦芽博士种牙专家团提醒缺牙市民:缺牙危害大,影响口腔健康,口腔中的感染和发炎,可导致或加剧心脑血管病、糖尿病等慢性病,危害全身健康。中老年人切勿因为年纪大、缺牙多、怕疼等原因一拖一再拖。随着数字化医疗技术的发展,种牙越来越便捷舒适。麦芽MAC数字化精确种植技术,可实现种牙全程可视化,做到创伤小,快速无痛,大大减少手术时间,有效解决了骨量严重萎缩不足等无牙颌种牙难题,术中采用无痛技术,配备心电综合监护仪器,保障高龄种牙手术的安全,使种牙全程更舒适。

为让更多中老年人有口福享受幸福晚年,9月21日,麦芽口腔将举办第六期种牙百叟宴,麦芽博士领衔种植专家团专家也将亲临活动现场,为患者讲解数字化精确种植知识,解答市民种牙疑惑。当天参加活动的缺牙市民还可以享受美味螃蟹,并亲眼见证种植牙媲美真牙的咀嚼力。当天还有种植体品牌厂商赞助的“百颗种植体免费送”特大福利,机会有限,先报先得,报名热线:0755-8233 9968。
下一篇:麦芽种牙百叟宴助力缺牙人吃嘛嘛香
數位化口腔種植學科專家組
由深圳二院原口腔科主任、國際種植醫師學會院士鄭蒼尚教授領銜的數位化精確種植學科專家組,在種植領域有豐富的臨床經驗,獲業內人士的廣泛好評!
數位化口腔正畸學科專家組
由白明海、吳伯海等畢業於名校的正畸專才領銜,凝聚一批國際資質認證的矯正醫師,運用數位化科技將醫學與美學完滿融合,在矯牙為您重塑美麗笑線和臉型!
數位化美學修復學科專家組
該學科組擅長運用系列數位化軟硬體設備,為您精細比色、類比牙體形態、塑造微笑曲線,將紅白美學、咬合關係與缺損修復融為一體。
數位化牙周病學科專家組
由香港大學牙周病學博士李京平領銜的牙周病學科專家組,致力根據個體實際牙周情况設計治療方案,運用數位化設備帶來更為舒適精細的體驗。
數位化兒牙治療學科專家組
依託嚴格醫生注入制度,麥芽打造一批深諳兒童心理與口腔狀況的醫生團隊,致力帶來更舒適的看牙體驗,讓未成年人告別看牙恐懼症,輕鬆擁有健康好牙。
麥芽牙科連鎖·品牌實力陞級