很多人不知道,牙齿美容会直接影响到一个人的微笑、气质和形象。而对于四环素牙的患者来说,这就成了必须要改善的一个地方。四环素牙怎么治疗呢?

四环素牙是什么?
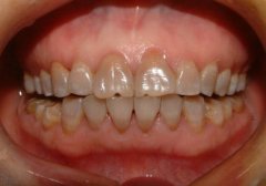
四环素牙是在牙齿牙釉质形成时摄入过多的四环素类药物造成的,四环素牙呈黄色,在阳光照射下则呈现明亮的黄色荧光,以后逐渐由黄色变成棕褐色或深灰色。那么不同程度的四环素牙要怎么治疗呢?下面口腔专家就来介绍这个疑问。
1、轻度四环素牙的治疗:对于很轻度的四环素牙,一般采用冷光美白技术。
轻度的四环素牙对外貌会有一定影响,可以选择冷光美白进行牙齿美白。美国Beyond蓝光美白牙技术,冷光美白效果安全、效果明显。
2、中度四环素牙的治疗:对于中度的四环素牙,如果需求改变自己的牙齿形象,从健康的角度考虑,瓷贴面是个极不错的选择。
牙齿瓷贴面是一种覆盖部分牙面的瓷修复体。即在磨损少量牙体,采用粘结技术,在保存活髓、少磨牙的情况下,对牙体表面缺损、着色牙、变色牙和畸形牙等用瓷修复材料粘结覆盖其表面,以恢复牙体的正常形态和改善其色泽。
3、重度四环素牙的治疗:对于重度四环素牙,瓷贴面则相对难以达到理想的遮色效果,而是重度四环素牙理想的选择。美容冠,为近年由欧美引入的新兴美齿技术。
针对成人,对龅牙、排列歪斜牙、畸形牙以及色素牙,可彻底快速矫正修复,无需拔牙,全程微痛。>>美容冠多少钱
以上就是麦芽口腔专家为您介绍的四环素牙的不同程度治疗的介绍,不同程度的四环素牙治疗应该选择适合的治疗方法。

麦芽口腔,是您美白牙齿的好去处:
一、先进的诊疗设备。医院设有学术中心,常年开展学术交流,及时把握和运用新技术和成果,确保麦芽口腔总是居于技术前沿。
二、专业的口腔医生,科学辩证治疗。引进较先进的诊疗设备,为患者提供科学、适合的诊疗方案。
三、拥有先进的检测系统,能快速、准确地检测出各种口腔问题和疾病,为临床治疗提供科学依据,确保随后治疗的针对性、准确性和性。
四、推行个性化、人性化服务。医院设有速诊室、速诊治疗中心、外宾诊室中心,以满足不同患者的不同要求。
【深圳麦芽口腔】深圳麦芽口腔为方便爱牙人士就诊,特开设网络咨询平台,爱牙人士们如果有疑问可随时通过以下方式进行咨询,选择一对一的沟通:
1、咨询我们的在线专家>>>立即咨询
2、健康咨询QQ:800153222随时进行一对一问题咨询。
3、24小时健康热线,点击马上拨打:0755—82339968。
麥芽牙科連鎖·品牌實力陞級