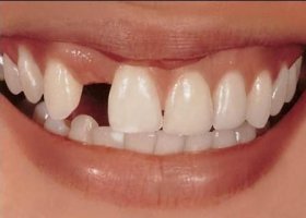
【导读】牙齿缺失后会有哪些不良影响?深圳麦芽口腔专家介绍:牙齿虽小,但对于我们的口腔及其重要,没有一口好牙,我们不能尽享美食,在别人面前就不会显得漂亮自信,所以,牙齿不仅关乎到我们的身体健康,还会对我们的形象带来很大的影响。

专家指出:牙齿缺失给我们带来以下危害
1、对剩余牙产生一定的影响。当牙齿缺少一颗缺就会导致相邻的牙齿向缺牙空隙内倾斜、移位,咬合关系和牙齿排列出现错乱,造成食物嵌塞,亦是导致牙周病的病因之一。
2、前牙缺失不仅影响美观还影响发音。当然个别后牙缺失后,对发音影响不大,当缺牙较多时,可造成不同程度的发音障碍,说话既费力又不清楚。
3、对口腔咀嚼效率的影响。牙齿缺失导致个别或全口牙齿缺损后,咀嚼效率随之降低或丧失,未嚼碎的食物进入胃肠,胃肠系统的负担随之加重,从而导致胃肠功能紊乱,严重者机体可出现消化系统的疾病。

专家温馨提醒:牙齿缺失后一定要尽快的进行修复,以免给自己带来严重的后果。先如今,美容冠和种植牙都是现在备受追捧的牙齿修复技术,具体的需要根据患者的牙齿缺失情况选择最适合的修复方式。
麦芽口腔韩国OSSTEM种植牙,快速种牙
牙齿缺失对人体健康危害巨大,牙齿缺失的朋友需要尽快治疗。韩国奥齿泰种植技术不损伤邻牙,在缺牙处的牙槽骨内植入种植体,以此为基础修复缺失牙,不涉及邻牙。
同时,奥齿泰技术体积小不外露金属、美观,更有利于保持口腔清洁卫生。推荐咨询专家:种植牙选择哪种好?
深圳麦芽口腔是一家专业的口腔医疗连锁机构,拥有经验丰富的医师团队,技术娴熟,手术过程全部采用严格的消毒程序和先进高效的消毒设备,为广大患者营造了一个安全、放心的就诊空间。
口腔问题不只影响我们的容貌,更有可能影响全身健康。为了您和家人的健康,一旦发现口腔问题应该及时到专业的口腔医院就医。
【深圳麦芽口腔】深圳麦芽口腔为方便爱牙人士就诊,特开设网络咨询平台,爱牙人士们如果有疑问可随时通过以下方式进行咨询,选择一对一的沟通:
1、咨询我们的在线专家>>>立即咨询
2、健康咨询QQ:800153222随时进行一对一问题咨询。
3、24小时健康热线:0755—82339968。
麥芽牙科連鎖·品牌實力陞級