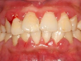
牙龈上火肿痛也就是牙齿根部痛,而且其周围齿肉肿胀,故称牙龈肿痛,也叫牙肉肿痛。牙龈肿痛对我们的困扰是极大的,那么牙龈上火肿痛怎么办呢?

为什么会牙龈上火肿痛?
一般来说,牙龈肿痛通常有两种情形,一种是由于上呼吸道感染(感冒或上火)引起的急性牙龈炎,通常同时有喉痛、舌苔黄而厚、口发干发苦的症状。另一种是本身有蛀牙,由于蛀牙引起的急性牙髓炎并发急性牙龈炎。>>>不治疗牙痛的感觉会消失吗?
牙龈肿痛对患者的影响是很大的,它的时不时疼痛不仅阻碍了人们日常的饮食,还阻碍了人们的正常社交,影响美观。如果不及时治疗,还会直接导致牙龈出血,牙根内组织坏死,收关牙齿松动甚至脱落,牙龈肿痛对人们的影响是很大的。
麦芽专家为您支招,轻松消灭牙龈肿痛:
1、到专业口腔医院做详细检查。牙龈肿痛的原因有很多,不同的原因应该采取不同的处理和治疗措施(有哪些不同的治疗方法?点击获取!),通过检查确定是由于上述哪种原因引起的牙龈肿痛,才能对症下药。
专家提醒:引起牙痛原因不同,使用的药物也不同,切忌病急乱投医。
2、及时治疗。要从根本上避免牙痛困扰,就要对症下药,治疗好疾病,杜绝细菌滋生。
3、防患于未然,做好预防工作。平时应保持口腔清洁环境,尤其是注意保持牙龈的健康。
4、定期洗牙。定期洁牙,清除牙结石可以防止牙龈出血、肿痛等问题。附在牙颈部的结石会不断刺激牙龈,引起牙龈发炎而持续出血。
专家建议:由于结石的形成跟每个人的唾液的不同成分有关,所以应该每隔半年或一年,就应该进行一次洗牙,彻底清除牙结石。
麦芽口腔:您的贴心综合治疗中心
——麦芽数字化牙周综合疗法采用牙周诊疗仪器、“三微一体”健康自然疗法,根据患者的自身独特情况,设计独特的牙周病治疗方案,解决并实现创口小、痛感小、出血小三大技术难题,成为牙周治疗领域领军者。
麦芽口腔专家提醒:如果是由于智齿或者蛀牙引起的牙龈红肿,建议您尽早到专业的口腔机构进行治疗,以免造成口腔炎症的恶化,如果您还有其他的疑问,请您咨询我们的在线专家。
【深圳麦芽口腔】深圳麦芽口腔为方便爱牙人士就诊,特开设网络咨询平台,爱牙人士们如果有疑问可随时通过以下方式进行咨询,选择一对一的沟通:
1、咨询我们的在线专家>>>立即咨询
2、健康咨询QQ:800153222随时进行一对一问题咨询。
3、24小时健康热线:0755—82339968。
麥芽牙科連鎖·品牌實力陞級