不可忽视的根尖周炎

Can not be ignored the root tip of periarthritis

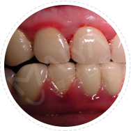
牙根尖周组织的急性或慢性炎症称为根尖周炎。牙髓炎发展到晚期,牙髓组织大部或全部坏死时,或有细菌感染,引起根尖周组织发炎。

根尖周炎,你现在的情况是哪种?

Root tip periarthritis, you now is what kind of?

根尖周炎,为什么必须做口腔检查?

Treatment of periarthritis of root, why must cavity?

麦芽提供 口腔检查,仅限网络预约

麦芽辩证施治,解决根尖周炎

Periarthritis malt treats ectical, solve the apex

  • 麦芽显微根管治疗
通过机械和化学方法去除根管内的大部分感染物,并通过充填根管、封闭冠部,防止发生根尖周病变或促进已经发生的根尖周病变的愈合。
适应症:根尖周炎、深度龋齿等

市医保定点连锁 看牙省心超值

City health insurance fixed point chain, dental care value

作为市医保定点单位、医疗服务质量A级单位,麦芽口腔始终以顾客为中心,优化服务,严抓医疗质量,恪守医疗本质,给顾客省心超值的看牙体验!
即刻预约看牙 · 恢复健康不等待

麦芽连锁品牌推荐专家

Malt chain brand recommendation experts

  • 1对1专家负责制
    最大限度保护患牙

  • 数字化个性方案定制
    针对治疗更省钱

  • 四手无菌安全操作
    避免细菌感染

  • 治疗手法轻柔舒适
    降低痛感与不适

医院的医生可以在线预约吗?
网络预约提供【姓名+手机号+时间】,系统可预先为您挂号,尽可能避免排队,为您节省时间。
根管治疗最近有什么优惠吗
预约登记可享 拍片、检查与方案设计,具体优惠可在对话框输入查询项目,系统自动回复。
麥芽牙科連鎖·品牌實力陞級
  • 麥芽連鎖
  • 集團榮譽
  • 大咖題詞
  • 專家榮譽