
麦芽口腔种植科以“深圳市二院口腔科原主任郑苍尚教授”领衔,专家准入资质严格,汇聚副高职称、 临床医学人才,形成“博士种牙团”,精研疑难种植,具备国际视野,掌握核心技术,致力推动数字化口腔在深建设,大力举办学术峰会,促进行业交流、带动行业共同发展。
ICOI研究员项目培训基地
国际口腔种植医师
中国工程院院士
国际口腔种植医师
患者秀 缺牙数十年,只能吃软食。试过活动牙,佩戴太难受放弃了。最终在这找回了口福,谁能想70多老头重新长了新牙?点赞!
人民日报老记者郭灵声
5764
患者秀 我是一名新东方教师,喜欢中国。意外进食崩坏了牙齿,在麦芽口腔重新种好了牙齿,中国的医生和中国的功夫一样棒!
加拿大友人郭杰克
4564
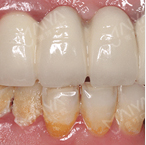
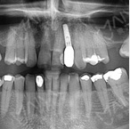
患者秀 爱美大概就是牺牲了半口好牙装上了烤瓷冠,结果一口烂牙再也救不回来了…来深圳种好了半口牙,终于像正常人一样吃喝了。
香港面包师郄女士
4675
麦芽依托严格的医生准入机制,打造博士专家团队,以市二院原口腔科主任郑苍尚教授为核心,汇口腔医学人才,聚三甲口腔名医,为市民口腔健康提供品质诊疗服务!
麦芽口腔种植系统均为原装进口;材料均获OHSMS1800健康安全认证以及ISO9000质量认证;享受5年甚至终生质保,并提供 养护。
麥芽牙科連鎖·品牌實力陞級