瑞典Astra种植系统
品牌介紹
  Astra 种植系统是登士柏西诺德公司旗下高端种植系统,是全世界口腔种植系统中边缘骨吸收最少、发表临床研究及基础文献最多的种植系统之一,该系统采用领先的骨保存设计,加上独有的精密制造技术,使种植牙能保证长期的功能成功和美学稳定性。目前,麦芽口腔品牌连锁已与瑞典Astra达成正式授权合作关系。
適用人群
广泛适用于各类缺牙情况,尤其适合骨量不足、长期缺牙导致牙间隙狭小,对边缘骨保存有较高要求、对种植体长期功能性与美学性要求高的群体。
突出特點

边缘骨吸收少、适应症广

目前边缘骨吸收量最少的种植系统,能保证长期的功能成功和美学稳定性;型号多样,对骨量要求少的超短植体、适合牙间隙超窄植体。
為什麼選擇瑞典Astra种植系统

快速愈合,缩短修复时间

Astra Tech 种植体的表面处理是一款含有氟离子的种植体,可以达到快速骨结合的目的,大大缩短种植牙后等待修复的时间。

牢固稳定,使用寿命更长

Astra Tech 种植体远远优于目前关于种植体成功标准规定的边缘骨吸收量,同时具备更好的种植体周围炎抵抗力,使用寿命更长。

尺寸全面,适应症广

Astra Tech 种植体适合所有种植病人的所有种植位点,具有目前市场上少有的直径为 3.0mm窄径种植体和长度为 6mm短种植体。
治療效果

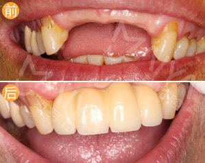
杨萍年

概況:牙齿断裂、第二次种牙
解決方案:即拔即种即刻修复

余天才

概況:上颌4颗门牙缺失
解決方案:麦芽微创无痛种植牙技术
科學依據

OsseoSpeed™表面处理

该表面处理能够极大增加种植体和骨的结合速率和接触面积,达到快速骨结合,缩短修复时间的目的。

MicroThread微螺纹设计

微螺纹设计能够消除颈部的高应力集中,增加种植体的承载能力,同时增加种植体和骨的接触面积,保存边缘骨。

锥形封闭设计

Conical Seal Design™锥形封闭设计具有精确的自引导特征,可以消除种植体和基台间微动和微渗漏,使封闭更紧密。
榮譽資質
麦芽自成立以来与著名齿科品牌达成战略合作,荣膺登士柏西诺德公司指定临床应用单位!
注意事項
1.種植牙需要定期維護,需要定期讓您的牙醫做維護工作。
2.一般而言,約三到六個月做一次牙科植體周圍組織維護。
3.平日的居家維護工作,需要如同牙周組織一樣的管道維護。
4.必要時可以使用扁平型或圓錐刷毛之電動牙刷。
相關問答
  • 關於種植體使用期限?

    A:植體的壽命與口內環境、醫生種植的科技等都有關,麥芽權威博士專家團採用數位化導板種牙,可使植體在口內使用壽命更長久!
  • 關於種植體的價格?

    A:麥芽拒絕中間商賺差價,讓利更多的福利給市民,每月還有不定期的優惠活動,詳情詢問客服!
麥芽口腔連鎖·品牌實力陞級
  • 麥芽連鎖
  • 集團榮譽
  • 大咖題詞
  • 專家榮譽